子どもの矯正
Pediatric

小児の矯正治療(早期治療・1期治療)
子どもの矯正治療は、歯に適切な力を加えて歯並びや噛み合わせを整える治療で、成長を利用した顎の治療と歯並び・噛み合わせを改善する治療の2つに分けられ、歯の機能性・審美性を改善にして良好な状態にする治療です。成長期の子どもは顎に問題がある場合が多いため、顎の成長を正しい方向に誘導することで、効率的・効果的かつ痛みを抑えた治療ができます。また、装置に対する違和感やコンプレックスが少ない時期でもあります。
そのため、お子さまの歯並びや噛み合わせが気になったら、乳歯がまだ残っている7歳ごろに矯正専門の歯科医院で検診を受けることをおすすめします。検診を受けた結果、「まだ治療が必要ではない」と判断されるお子さまもいますが、早い時期にしっかりとした検査を行なうことで、お子さまにとって効果的な矯正治療の開始時期を予測できます。

目的
乳歯と永久歯が混在する混合歯列期の子どもに、出っ歯・受け口・乱杭(らんぐい)歯・開咬などの症状が見られる場合、成長を利用した顎の成長促進や、不正咬合の改善を行なう治療を早期に始めます。それにより、永久歯が正常に生え変わる環境づくり、抜歯の必要性の低減、本格的な矯正治療の期間の短縮などができます。
また、思春期になる前に口呼吸から鼻呼吸へと改善させることも可能です。顎が狭い子どもの場合、上顎を拡げることで空気の通り道となる鼻腔の骨格も広がり鼻呼吸になるので、良好な成長発育へとつなげることも可能です。さらに下顎を拡げることで舌を置く位置を適切にして、舌の運動機能を向上させたり、舌がのどのほうに移動して呼吸の妨げにならないようにします。
歯を大切に
歯を大切にするために、矯正治療と合わせて適切な歯磨き習慣を身につけられるよう歯磨き指導を行ない、フッ素塗布などで虫歯予防や口腔衛生の管理にも取り組んでいます。将来にわたり自分の歯でしっかり噛めるようサポートし、皆さまの健康維持に貢献していきたいと考えています。安心して快適に治療を受けていただけるよう尽力しています。
子どもの矯正治療の流れ
初診の相談と検査の後に、歯並び・骨格のタイプに応じた治療計画・費用、スケジュールなどについてご説明します。装置を付けた後は3~5週間ごとに通院が必要となります。治療期間には個人差がありますが、一般的な目安は2~3年です。

Step
01
初診相談
矯正治療に対するご希望や不安などをお聞きして、歯並び・噛み合わせ、骨格のタイプや発育の状態をご説明し、予想される治療費をご提示します。
Step
02
精密検査
患者さまのタイプを診断し、適切な治療計画を立てるために、レントゲン撮影、歯の模型作製、噛み合わせ・顎関節の検査、顔・口の写真撮影などを行ないます。
また、歯並びに影響を及ぼす悪い癖や、顔・口の筋肉の問題について診査します。Step
03
治療計画の説明
精密検査の結果から、歯並び・噛み合わせ、骨格のタイプや発育の状態、歯並びに影響を及ぼす悪い癖や、顔・口の筋肉の問題についてご説明し、唇の出ている方にはコンピューターで治療後の横顔の予測写真をご提示します。
また、適切な治療方法・期間・費用について詳しくご説明し、納得して治療を受けていただけるよう、充分に話し合った後で治療を開始します。Step
04
早期治療・成長期の治療
(1期治療)全ての永久歯が生えそろう前に、顎の形や歯並び・噛み合わせを整える治療を行ない、できるだけ不正を除去します。
Step
05
保定期間
装置の除去後、数ヵ月から半年に1回来院いただき、歯並びが安定しているかチェックします。
12歳臼歯が生えてくるまで、歯並びの変化や顎の成長などの経過を観察します。Step
06
2期治療(12歳ごろ〜)
12歳臼歯が生えた後、全ての歯に装置を付けて、全体の歯並びや噛み合わせの治療を行ないます。
Step
07
最終保定期間
歯がきれいに並んでも、装置を外すと歯が後戻りする場合があるため、装置の除去後に保定装置を装着します。数ヵ月から半年に1回来院いただき、歯並びが安定しているかチェックします。2~3年後、安定が確認されたら保定装置を除去します。
不正咬合の原因
1. 遺伝
歯の大きさや顎の形が遺伝するように、親が出っ歯や受け口だと、その子どもも同じく出っ歯や受け口になる可能性があります。顕著に現れるのは思春期を迎える12歳前後で、小児矯正治療を行なうことで不正を最小限に抑えられます。
2. 耳鼻科的問題
アレルギー性鼻炎・扁桃腺肥大・アデノイド肥大の方は口呼吸になりがちです。顎の横幅の成長が停滞することで、前歯がきちんと並ばない、上の前歯を押して出っ歯になる、舌が前方に出て上下の前歯が開く、下顎を押して受け口になる、などのパターンがあります。
3. 癖
乳歯が生えそろってから永久歯が生えるまで長期にわたって指しゃぶりが続くと、出っ歯や開咬(上と下の前歯が開いたまま重ならない状態)になります。
前歯で下唇を噛んだり、片方だけで頬づえをつく癖も、長く続けると噛み合わせが悪くなったり、下顎が片方にずれることがあります。4. 食事
軟らかいものばかり食べていると、顎が大きく丈夫に育ちません。その結果、歯がきちんと並びきらなくなり、でこぼこしやすくなります。
5. 乳歯の管理
ある乳歯のあとには決まった永久歯が生えるようになっています。虫歯になった乳歯を放置して失い、そのままにしておくと、永久歯がずれて生えてきて正常な生え変わりができなくなり、噛み合わせがずれていきます。
Type
小児の不正咬合の分類

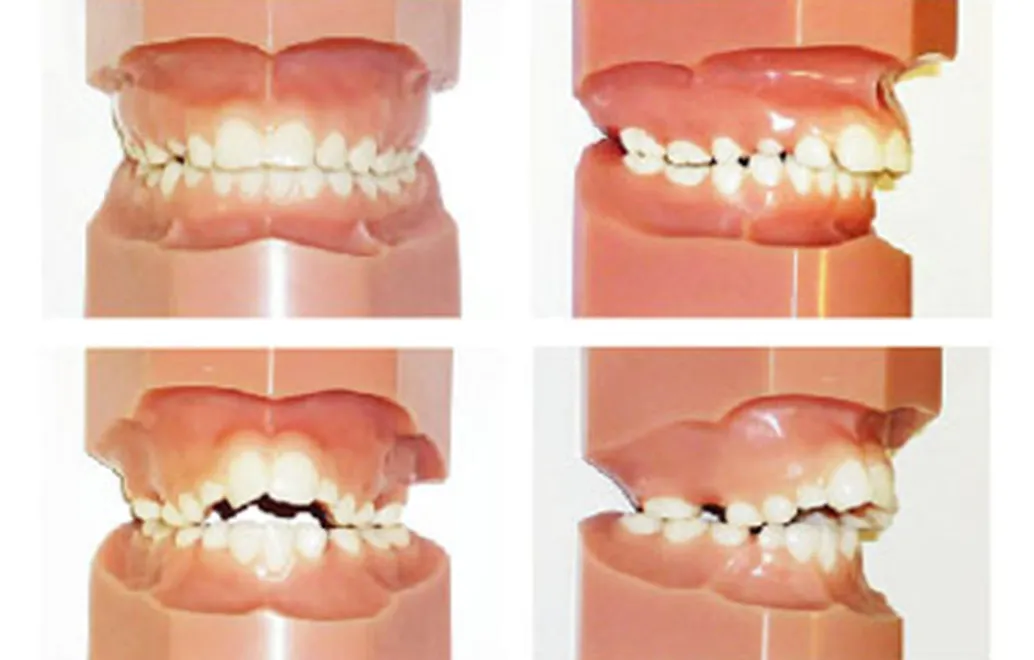
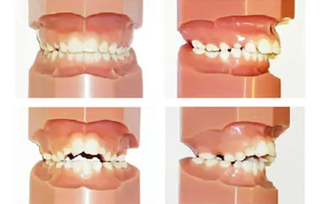
乱杭(らんぐい)歯(叢生)
顎が小さいことで歯が並ぶスペースが不足し、歯が重なり合ってでこぼこに生えています。

出っ歯(上顎前突)
上の前歯や上顎が前方に突出しています。

受け口(下顎前突・反対咬合)
下の前歯や下顎が、上の前歯よりも前方に突出しています。

開咬
奥歯を噛んでも上下の前歯が閉じず、隙間から舌が見える状態です。舌癖が影響していることもあります。

交叉咬合(こうさこうごう)
一部の噛み合わせが反対(下の歯が上の歯より前に出る)になっており、上下の前歯の中心がずれている場合もあります。その影響で、下の横の歯や下顎が前に出て見えることがあります。

過蓋咬合(かがいこうごう)
上の前歯が下の前歯を深く覆い、下の前歯がほとんど見えない状態です。出っ歯の方に多く見られる状態です。
Adult teeth
顎の中での永久歯の発育状態

4~5歳

7~8歳
Pediatric
小児の矯正装置
小児矯正に使用する装置
固定式の装置、前歯を並べる装置、取り外し式の装置があります。
固定式の装置

上顎の拡大装置
上顎の大臼歯にバンドと一体で装着し、歯列を拡大します。

緩徐拡大装置(ミア/クワッドヘリックス/Wアーチ)
下顎の拡大装置
下顎の大臼歯にバンドと一体で装着し、歯列を拡大します。
緩徐拡大装置(バイヘリックス/Wアーチ)

前歯を並べる装置
前歯に装着する、ワイヤーを通す溝がある金属製の装置と、軟らかいワイヤーで前歯を並べる装置です。
ブラケットとワイヤー

カラーゴム
ブラケットの溝に通す、ワイヤーを固定するゴムです。ブルー・ピンク・イエローなど30種類以上のゴムがあるため、色を選んで楽しめます。
取り外し式の装置

上顎と下顎の拡大装置
上顎と下顎の内側全体に自分で装着して、スクリューの圧力で顎を拡大します。
機械的矯正装置(プレート/エキスパンジョンプレート)

下顎の成長を促進させる装置
下顎が短いタイプの出っ歯の方に適用し、下顎の成長を促進させます。
機能的矯正装置(OC1=オーシーワン)

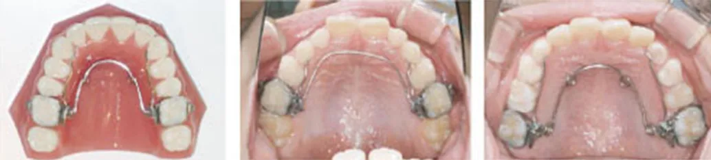
大臼歯を後ろに移動させる装置
奥歯(大臼歯)を後ろに移動させて、横の永久歯を並べる装置です。
機械的矯正装置(プレート /シャーミープレート)

上顎の成長を促進させる装置
上顎が小さい受け口の方の顔に装着して、上顎の成長を促進させる装置です。
フェイシャルマスク

矯正治療終了後の装置
保定装置(リテーナー)
歯がきれいに並んでも、装置を外すと歯が後戻りする場合があるため、装置の除去後に保定装置を装着します。

当院オリジナルの
透明なパッド付き保定装置
矯正治療・装置について
- 矯正治療の一般的な治療費は60万~150万円、一般的な治療期間は2~3年、一般的な治療回数は24~36回となります。
- 矯正治療は公的健康保険対象外の自費診療となります。
- 薬機法(医薬品医療機器等法)未承認の矯正装置は、医薬品副作用被害救済制度の対象外となります。
- 治療の費用、主なリスク・副作用については、ページ下部をご確認ください。
リスク・副作用
当院の主な矯正治療の費用(税込)
1期治療:385,000〜495,000円、2期治療:440,000〜550,000円、全体矯正:715,000〜935,000円、舌側矯正:1,100,000〜1,430,000円、部分矯正:330,000〜440,000円
費用は、歯並び・噛み合わせの状態・治療法・治療の難易度・年齢などによって異なりますので、詳細は歯科医師にご確認ください。
矯正治療にともなう一般的なリスク・副作用
- 矯正治療の一般的な治療費は60万~150万円、一般的な治療期間は2~3年、一般的な治療回数は24~36回となります。使用する装置、症状や治療の進行状況などにより変化しますので、参考程度にお考えいただき、詳細は歯科医師にご確認ください。
- 機能性や審美性を重視するため、公的健康保険対象外の自費診療となり、保険診療よりも高額になります。
- 最初は矯正装置による不快感、痛みなどがあります。数日から1~2週間で慣れることが多いです。
- 治療期間は症例により異なりますが、成人矯正や永久歯が全て生えそろっている場合は、一般的に1年半~3年を要します。小児矯正においては、混合歯列期(乳歯と永久歯が混在する時期)に行なう第1期治療で1~2年、永久歯が全て生えそろったあとに行なう第2期治療で1~2年半を要することがあります。
- 歯の動き方には個人差があるため、治療期間が予想より長期化することがあります。
- 装置や顎間ゴムの扱い方、定期的な通院など、矯正治療では患者さまのご協力がたいへん重要であり、それらが治療結果や治療期間に影響します。
- 治療中は、装置がついているため歯が磨きにくくなります。虫歯や歯周病のリスクが高まるので、丁寧な歯磨きや定期メンテナンスの受診が大切です。また、歯が動くことで見えなかった虫歯が見えるようになることもあります。
- 歯を動かすことにより歯根が吸収され、短くなることがあります。また、歯肉が痩せて下がることがあります。
- ごくまれに、歯が骨と癒着していて歯が動かないことがあります。
- ごくまれに、歯を動かすことで神経に障害を与え、神経が壊死することがあります。
- 治療中に金属などのアレルギー症状が出ることがあります。
- 治療中に、「顎関節で音が鳴る、顎が痛い、口をあけにくい」などの顎関節症状が出ることがあります。
- 問題が生じた場合、当初の治療計画を変更することがあります。
- 歯の形状の修正や、噛み合わせの微調整を行なうことがあります。
- 矯正装置を誤飲する可能性があります。
- 装置を外すときに、エナメル質に微小な亀裂が入る可能性や、補綴物(被せ物など)の一部が破損することがあります。
- 装置を外したあと、保定装置を指示どおりに使用しないと後戻りが生じる可能性が高くなります。
- 装置を外したあと、現在の噛み合わせに合わせて補綴物(被せ物など)の作製や虫歯治療などをやり直す可能性があります。
- 顎の成長発育により、歯並びや噛み合わせが変化する可能性があります。
- 治療後に、親知らずの影響で歯並びや噛み合わせが変化する可能性があります。
- 加齢や歯周病などにより、歯並びや噛み合わせが変化することがあります。
- 矯正治療は、一度始めると元の状態に戻すことが難しくなります。
機械的矯正装置(プレート/エキスパンジョンプレート/シャーミープレート)を用いた治療にともなう一般的なリスク・副作用
- 装置に組み込まれたばねやねじ、ワイヤーなどの力を利用し、歯を直接動かして歯並びを整える装置です。
- 機能性や審美性を重視するため、公的健康保険対象外の自費診療となり、保険診療よりも高額になります。
- 固定式のものは、ご自身では取り外せません。
- 装置後1週間ほどは、発音・嚥下時に違和感を覚えるほか、鼻や口もとにツンとした痛みを感じることがあります。
- この装置をつけた歯とその周辺の歯に痛みが生じることがあります。また、口内炎を発症することがあります。
- 歯列が横に広がることで、一時的に前歯にすき間が生じることがありますが、時間の経過とともに自然に閉じてきます。
- お子さまが治療に協力的でない場合、良好な治療結果を得られないことがあります。
- 取り外し式のものは、毎日の装着を怠ると、良好な治療結果を得られないことがあります。
- 食べ物が装置につきやすく、歯を磨きにくくなります。特にワイヤーやねじの部分に汚れが溜まりやすいので、仕上げ磨きをするなどご家族のサポートが必要になることがあります。
- 固定式ものは、歯磨きがきちんとできていないと虫歯を発症するリスクが高まります。
- 生涯良好な歯並びであることを保証する治療ではありません。治療後、成長により不正咬合が現れることがあります。
- 正しい使い方ができていないと、かえって悪い歯並びになってしまうことがあります。
- この装置だけで、お口周りの問題を全て解決できるわけではありません。
機能的矯正装置(OC1)を用いた治療にともなう一般的なリスク・副作用
- 患者さまご自身の筋肉の力(噛む力、唇や舌の力など)を利用し、歯を直接動かすのではなく筋肉の働きを変えることで、顎骨の成長を適切な方向へ導く装置です。主に成長期のお子様に用いられます。
- 機能性や審美性を重視するため、公的健康保険対象外の自費診療となり、保険診療よりも高額になります。
- 固定式のものは、ご自身では取り外せません。
- 装置後1週間ほどは、発音・嚥下時に違和感を覚えるほか、鼻や口もとにツンとした痛みを感じることがあります。
- この装置をつけた歯とその周辺の歯に痛みが生じることがあります。また、口内炎を発症することがあります。
- 歯列が横に広がることで、一時的に前歯にすき間が生じることがありますが、時間の経過とともに自然に閉じてきます。
- お子さまが治療に協力的でない場合、良好な治療結果を得られないことがあります。
- 取り外し式のものは、毎日の装着を怠ると、良好な治療結果を得られないことがあります。
- 食べ物が装置につきやすく、歯を磨きにくくなります。特にワイヤーやねじの部分に汚れが溜まりやすいので、仕上げ磨きをするなどご家族のサポートが必要になることがあります。
- 固定式ものは、歯磨きがきちんとできていないと虫歯を発症するリスクが高まります。
- 生涯良好な歯並びであることを保証する治療ではありません。治療後、成長により不正咬合が現れることがあります。
- 正しい使い方ができていないと、かえって悪い歯並びになってしまうことがあります。
- この装置だけで、お口周りの問題を全て解決できるわけではありません。
フェイシャルマスクを用いた治療にともなう一般的なリスク・副作用
- 上顎が小さい下顎前突の方の顔に装着して、上顎の成長を促進させる装置です。
- 機能性や審美性を重視するため、公的健康保険対象外の自費診療となり、保険診療よりも高額になります。
- 装置に力が加わることで、装置がずれたり外れたりして、けがをする危険があります。
- 装置が変形・破損した場合は自分で修理せず、担当医に相談してください。
- お子さまが治療に協力的でない場合、良好な治療結果を得られないことがあります。
- 正しい使い方ができていないと、かえって悪い歯並びになってしまうことがあります。
- この装置だけで、お口周りの問題を全て解決できるわけではありません。
保定装置を用いた治療にともなう一般的なリスク・副作用
- 矯正治療で整えた歯並びが元の状態に戻る「後戻り」を防ぐために、矯正治療終了後に装着する装置です。
- 機能性や審美性を重視するため、公的健康保険対象外の自費診療となり、保険診療よりも高額になります。
- マウスピース型、プレート型、ワイヤー型などがあり、治療後の歯並びの状態に応じて歯科医師の指示に従い、正しい期間・方法で使用することが重要です。
- 治療期間は、矯正治療の内容や歯の状態によって異なりますが、一般的に1~3年程度です。
- 最初は食事や歯磨き以外の時間を装着し、その後、歯が安定してきたら夜間のみなど、徐々に短くしていきます。
- 指示された期間は必ず装着を続けることが重要です。
- 整った歯並びを維持するため、就寝時のみでも生涯にわたり装着を続けることが推奨されることもあります。
- 装着を忘れると後戻りが生じ、リテーナーが合わなくなる可能性があります。
- 食べ物が装置につきやすく、歯を磨きにくくなります。特にワイヤーやねじの部分に汚れが溜まりやすいので、仕上げ磨きをするなどご家族のサポートが必要になることがあります。
- 固定式のものは、ご自身では取り外せません。
- 固定式ものは、歯磨きがきちんとできていないと虫歯を発症するリスクが高まります。
- 取り外し式のものは、毎日の装着を怠ると、良好な治療結果を得られないことがあります。


















