症例集
Case
Case
症例集
治療例(子供の矯正歯科治療)
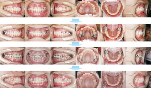
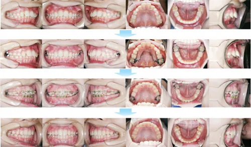
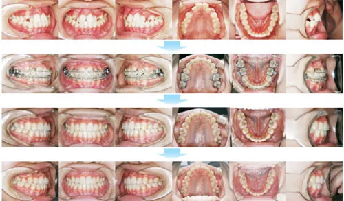
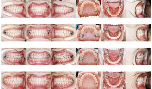
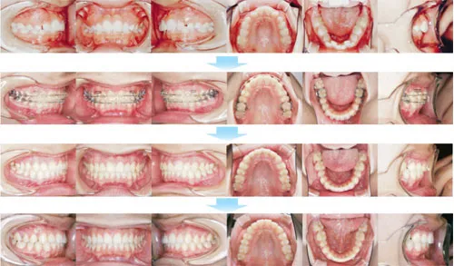
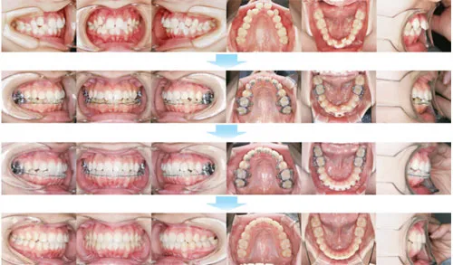
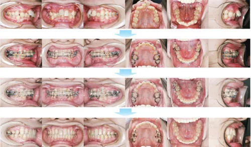
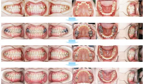
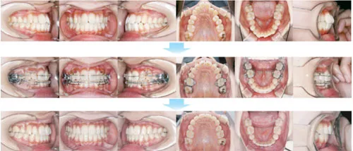
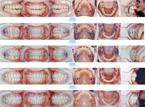
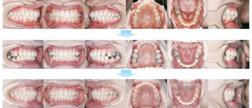
症例01

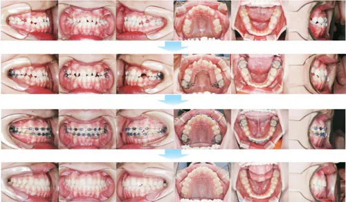
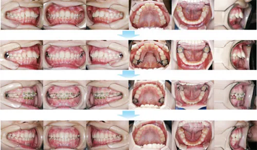
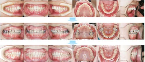
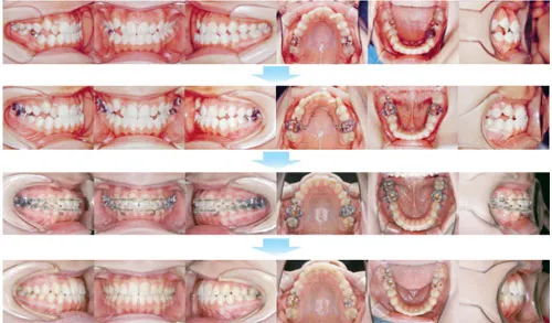
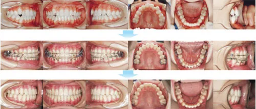
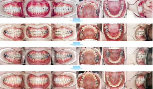
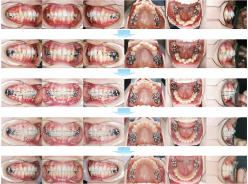
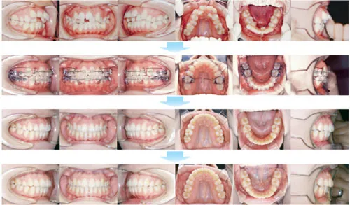
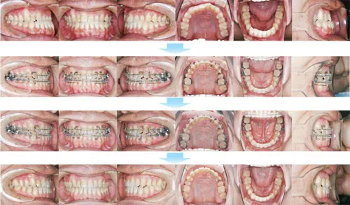
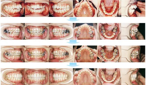
症例02

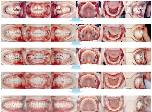
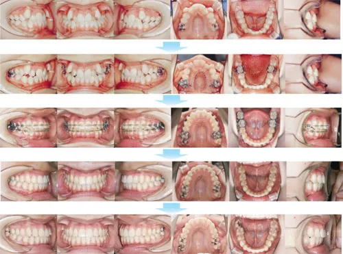
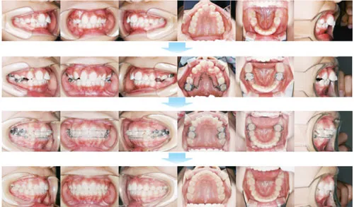
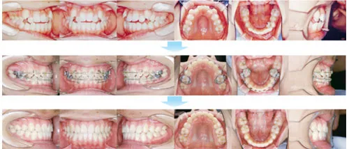
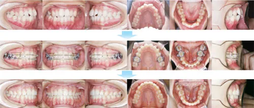
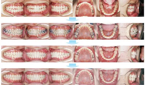
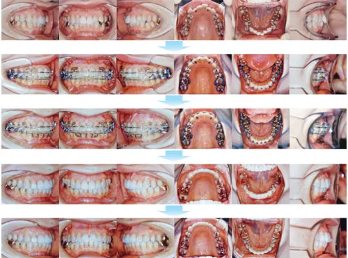
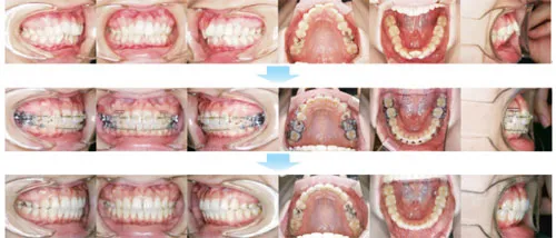
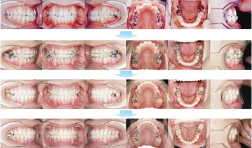
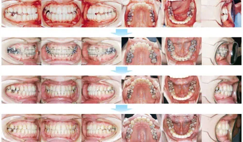
症例03

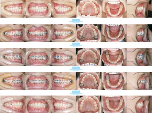
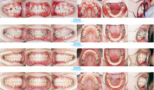
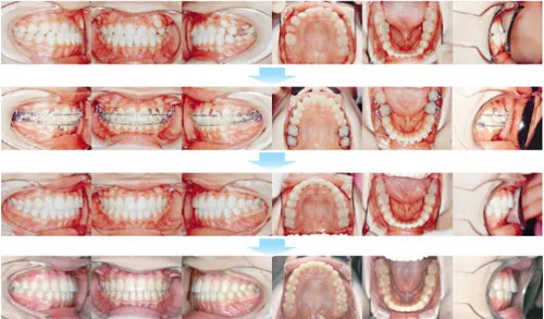
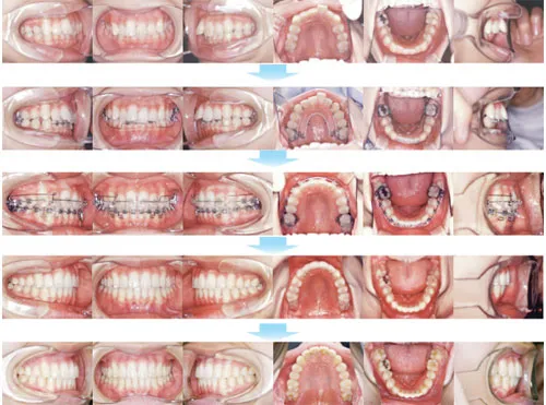
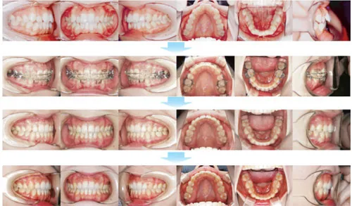
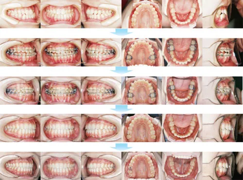
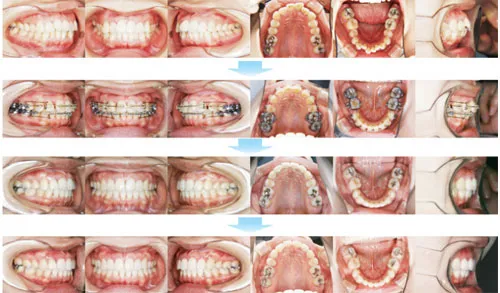
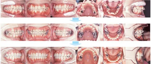
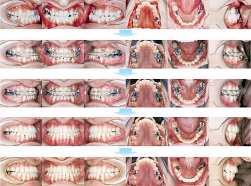
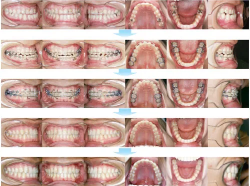
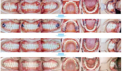
症例04

症例05

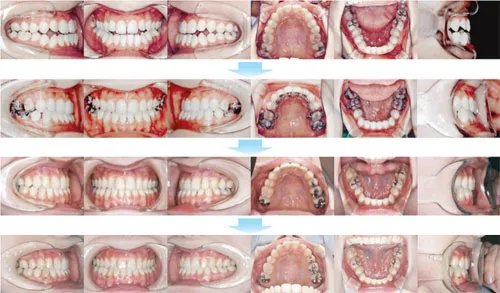
症例06

症例07

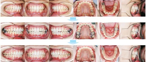
症例08

症例09

症例10

10代前期の矯正歯科治療
症例01

症例02

症例03

症例04

症例05

症例06

症例07

症例08

症例09

症例10

症例11

症例12

症例13

治療例(10代後期の矯正歯科治療)
症例01

症例02

症例03

症例04

症例05

症例06

症例07

症例08

症例09

治療例(大人の矯正歯科治療)
症例01

症例02

症例03

症例04

症例05

症例06

症例07

症例08

症例09

症例10

症例11

症例12

症例13

症例14

症例15

症例16

症例17

症例18

治療例(見えない矯正歯科治療(舌側矯正治療))
症例01

症例02

症例03

症例04

症例05

症例06

症例07

症例08

症例09

症例10

症例11




























































