その他治療
Other
MFT
筋機能療法
(MFT=口腔周囲筋トレーニング)

口が開いた状態のまま上下の歯の間から舌が出ていたり、飲み込むときに歯を舌で押すことを舌癖といいます。舌癖がある方は、いつも舌が口の中で低い位置にあり、歯を押しています。飲み込むときはさらに強い力で歯を押します。
口の周囲の筋肉は弱く、特にいつも口をあけている方はその筋肉で歯を押さえる力がありません。人は1分間に1~2回くらい無意識に嚥下動作(飲み込む動作)をしています。舌癖のある方は飲み込むたびに舌で歯を押していることになります。そのため、出っ歯になったり、歯の間に隙間ができたり、上下の歯が噛み合わなくなります。話をするときに舌足らずな発音になることもあります。また、舌癖があると鼻呼吸ではなく口呼吸になります。
このような舌癖を治して正しい飲み込みや鼻呼吸に導くのが筋機能療法(MFT)とよばれるトレーニングです。
当院では、歯並びに悪影響を及ぼす舌癖のあるお子さまを対象に、専門のスタッフが筋機能療法など口の周りの筋肉(口腔周囲筋)のトレーニングを行なっています。
舌癖改善装置
Anchor screw
インプラント矯正歯科治療
(歯科矯正用アンカースクリュー)
を用いた治療

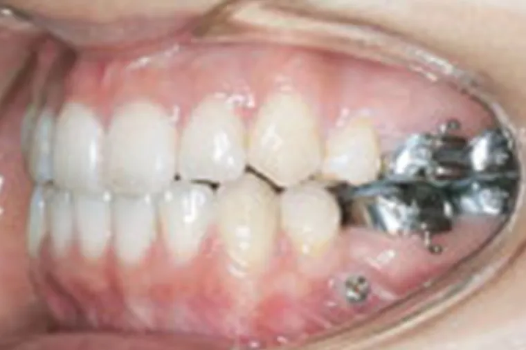
顎の骨に矯正治療用のアンカースクリュー(ねじ)を歯肉の下の骨に埋め込み、歯を動かすための固定源(支点)として利用する矯正治療法です。
通常のワイヤー矯正では、歯に装置を付けて互いに引っ張り合う構造のため、片側だけを動かしたい場合でも反対側の歯が一緒に動いてしまい、細かいコントロールが難しいという課題がありました。
アンカースクリューは埋め込んだ骨にしっかり固定されるため固定源が動かず、狙った方向に正確に歯を移動させることが可能です。従来では難しかった歯の移動や治療期間の短縮にもつながり、対応できる症例の幅が大きく広がりました。
埋入部位は、太い血管や神経を避けた安全な位置を選ぶため、リスクは非常に低いとされています。使用するネジは人工関節などにも使われる生体親和性の高いチタン製で、アレルギー反応の心配もほとんどありません。役目を終えたアンカースクリューは1〜2年以内に取り外すことができ、通常は歯肉に痕が残ることもありません。
この治療法を活用することで、患者様の負担を減らしながら、より効率的かつ精密な矯正治療が可能になります。
歯科矯正用アンカースクリュー
を用いた
治療のメリット・デメリット
メリット
- 一日中または睡眠中に装着する必要があった装置が必要なく、最小限の期間のみで治療が終了できます。
- アンカースクリューを埋め込む処置は局所麻酔下で行ない、数本であれば30分程度ですみます。アンカースクリューはとても小さく細いので、処置後の痛みや腫れもほとんどなく、抜歯よりも痛みを抑えられるといわれています。
- 従来の矯正治療であれば抜歯を選択せざるを得ない方でも、抜歯せず治療できる可能性が広がりました。
- 治療期間を短縮できる場合がある。
- アンカースクリューは直径1~2mmほどの太さなので、骨に埋め込んでも日常生活に影響はありません。
デメリット
- アンカースクリューを歯肉の下の骨に埋め込むため、専門知識を有する歯科医に処置を依頼します。
- 歯を動かす役割を終えた後は除去する必要がありますが、歯肉には全く痕が残りません。
- 骨の質・厚み。衛生管理の状態によって腫れや脱落が起こることもあります。
- 年齢や歯周組織の状態によっては、適用できないことがあります。
Flow
歯科矯正用アンカースクリュー
を用いた治療の流れ
Step
01
埋め込む場所や方向をレントゲンなどで確認し、決定します。
埋め込み部位を消毒し、表面麻酔と局所麻酔を行ないます。痛みはほとんどありません。
Step
02
アンカースクリューを埋め込みます。
所要時間は1本につき15分程度です。Step
03
消毒と投薬をします。

処置後の注意
処置後の痛みには個人差がありますが、ほとんどないか軽度ですみます。腫れも、そこまで目立ちません。万が一痛みや腫れが出た場合でも、2〜3日で落ち着きます。
また、歯と同様に歯肉の衛生管理が必要になります。
矯正治療・装置について
- 矯正治療の一般的な治療費は60万~150万円、一般的な治療期間は2~3年、一般的な治療回数は24~36回となります。
- 矯正治療は公的健康保険対象外の自費診療となります。
- 薬機法(医薬品医療機器等法)未承認の矯正装置は、医薬品副作用被害救済制度の対象外となります。
- 治療の費用、主なリスク・副作用については、ページ下部をご確認ください。
リスク・副作用
当院の主な矯正治療の費用(税込)
1期治療:385,000〜495,000円、2期治療:440,000〜550,000円、全体矯正:715,000〜935,000円、その他治療:1,100,000〜1,430,000円、部分矯正:330,000〜440,000円
費用は、歯並び・噛み合わせの状態・治療法・治療の難易度・年齢などによって異なりますので、詳細は歯科医師にご確認ください。
矯正治療にともなう一般的なリスク・副作用
- 矯正治療の一般的な治療費は60万~150万円、一般的な治療期間は2~3年、一般的な治療回数は24~36回となります。使用する装置、症状や治療の進行状況などにより変化しますので、参考程度にお考えいただき、詳細は歯科医師にご確認ください。
- 機能性や審美性を重視するため、公的健康保険対象外の自費診療となり、保険診療よりも高額になります。
- 最初は矯正装置による不快感、痛みなどがあります。数日から1~2週間で慣れることが多いです。
- 治療期間は症例により異なりますが、成人矯正や永久歯が全て生えそろっている場合は、一般的に1年半~3年を要します。小児矯正においては、混合歯列期(乳歯と永久歯が混在する時期)に行なう第1期治療で1~2年、永久歯が全て生えそろったあとに行なう第2期治療で1~2年半を要することがあります。
- 歯の動き方には個人差があるため、治療期間が予想より長期化することがあります。
- 装置や顎間ゴムの扱い方、定期的な通院など、矯正治療では患者さまのご協力がたいへん重要であり、それらが治療結果や治療期間に影響します。
- 治療中は、装置がついているため歯が磨きにくくなります。虫歯や歯周病のリスクが高まるので、丁寧な歯磨きや定期メンテナンスの受診が大切です。また、歯が動くことで見えなかった虫歯が見えるようになることもあります。
- 歯を動かすことにより歯根が吸収され、短くなることがあります。また、歯肉が痩せて下がることがあります。
- ごくまれに、歯が骨と癒着していて歯が動かないことがあります。
- ごくまれに、歯を動かすことで神経に障害を与え、神経が壊死することがあります。
- 治療中に金属などのアレルギー症状が出ることがあります。
- 治療中に、「顎関節で音が鳴る、顎が痛い、口をあけにくい」などの顎関節症状が出ることがあります。
- 問題が生じた場合、当初の治療計画を変更することがあります。
- 歯の形状の修正や、噛み合わせの微調整を行なうことがあります。
- 矯正装置を誤飲する可能性があります。
- 装置を外すときに、エナメル質に微小な亀裂が入る可能性や、補綴物(被せ物など)の一部が破損することがあります。
- 装置を外したあと、保定装置を指示どおりに使用しないと後戻りが生じる可能性が高くなります。
- 装置を外したあと、現在の噛み合わせに合わせて補綴物(被せ物など)の作製や虫歯治療などをやり直す可能性があります。
- 顎の成長発育により、歯並びや噛み合わせが変化する可能性があります。
- 治療後に、親知らずの影響で歯並びや噛み合わせが変化する可能性があります。
- 加齢や歯周病などにより、歯並びや噛み合わせが変化することがあります。
- 矯正治療は、一度始めると元の状態に戻すことが難しくなります。
口腔筋機能療法(MFT)にともなう一般的なリスク・副作用
- お口周りの筋肉を正常に機能させるためのトレーニングです。
- 機能的・審美的に仕上げるための治療なので、自費(保険適用外)での診療となり、保険診療よりも高額になります。
- お子さまが治療に協力的でない場合、良好な治療結果を得られないことがあります。
- 口腔筋機能療法(MFT)だけで、お口周りの問題を全て解決できるわけではありません。
- 口腔筋機能療法(MFT)を行なったからといって、将来矯正治療をせずに済むとは限りません。
歯科矯正用アンカースクリューを用いた矯正治療にともなう一般的なリスク・副作用
- 公的健康保険対象となる使用方法と、公的健康保険対象外の自費診療となる使用方法があり、自費診療となる場合は保険診療よりも高額になります。
- アンカースクリューの費用は、通常1本あたり2〜5万円となります。複数本使用する場合は、本数分が加算されます。また、矯正治療全体の費用に追加されるオプションという位置付けになります。
- 治療期間は、一般的なワイヤー矯正の場合、2〜3年程度かかることが多いですが、アンカースクリューを併用することで、1年半〜2年程度に短縮できる可能性があります。
- 治療期間・回数・費用は症状や治療の進行状況などにより変化します。あくまで参考程度にお考えいただき、詳細は歯科医師にご確認ください。
- 骨と化学的な結合をしないため、患者さまの骨の状態や口腔衛生状態によっては脱落することがあります。
- 脱落した場合は再埋入を行なうことがあります。脱落部分の骨の穴が回復するまで数ヵ月の時間を要するため、別の部分に埋め込むことがあります。
- 歯科矯正用アンカースクリューは骨に埋まっていますが、その頭部は歯肉の外にあるため、ケアを怠ると骨に感染することがあります。
- 歯科矯正用アンカースクリューは歯根の間に埋入されることが多いため、埋入時に歯根を傷つけることがあります。



