舌側矯正
Lingual
Lingual
舌側矯正
見えにくい舌側矯正装置(リンガル矯正装置)
見えにくい裏側矯正は、歯の裏側に装置を装着するため、外からは見えにくいため、周囲に気づかれる心配がほとんどありません。さらに、歯の表面を傷つけにくく、虫歯のリスクも抑えられます。また、打撲による口唇や粘膜の外傷も受けくいという特長があります。一人ひとりのお口に合わせてオーダーメイドで装置を作製する、あなただけの特別な矯正治療法です。
メリット
装置が見えにくい
装置が見えにくいことが大きなメリットです。装置を歯の表側に付けないので、職業柄、「装置が目につかないほうがいい」という方でも、周りの人にほとんど気づかれずに治療を行なえます。
違和感や発音への影響が少ない
装置のサイズが従来の約半分なので、違和感が少なくすみます。また、丸いデザインにより、サ行・タ行・ラ行を発音しづらいという問題や、食べにくいという問題が改善されています。
治療期間の短縮が見込める
結紮線やゴムで固定せず、シャッターを閉じるだけでワイヤーを固定します。そのため摩擦抵抗が軽減され、ワイヤーの特性が充分に発揮されて歯の移動が速まります。
歯を磨きやすい
装置が小型化されたことで、装置と装置の間や歯と歯肉の境目などが磨きやすくなっています。
Lingual
リンガルブラケット装置
リンガルブラケット矯正装置(STb)とは?
「Scuzzo Takemoto bracket」のことで、舌側矯正治療の第一人者、東京都千代田区にある「イーライン矯正歯科」の院長、竹元京人先生と、イタリアの矯正歯科医Giuseppe Scuzzo先生のお2人が共同で開発した装置で、薄くて小さいだけにとどまらず、違和感や発音への影響が少なく歯磨きがしやすい快適な装置です。


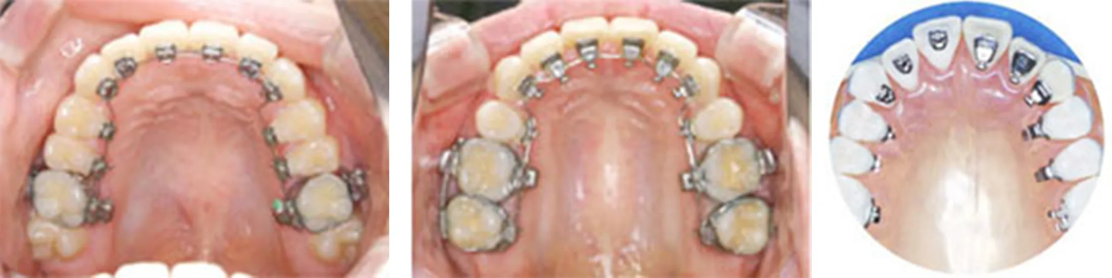
リンガルブラケット矯正装置(STb)
新しい超小型舌側矯正装置「リンガルブラケット矯正装置(STb)」の開発で、見えにくい舌側矯正治療がより快適になりました。

リンガルブラケット矯正装置(STb)(左)と旧タイプ(右)の比較
矯正治療・装置について
- 矯正治療の一般的な治療費は60万~150万円、一般的な治療期間は2~3年、一般的な治療回数は24~36回となります。
- 矯正治療は公的健康保険対象外の自費診療となります。
- 薬機法(医薬品医療機器等法)未承認の矯正装置は、医薬品副作用被害救済制度の対象外となります。
- 治療の費用、主なリスク・副作用については、ページ下部をご確認ください。
リスク・副作用
当院の主な矯正治療の費用(税込)
1期治療:385,000〜495,000円、2期治療:440,000〜550,000円、全体矯正:715,000〜935,000円、舌側矯正:1,100,000〜1,430,000円、部分矯正:330,000〜440,000円
費用は、歯並び・噛み合わせの状態・治療法・治療の難易度・年齢などによって異なりますので、詳細は歯科医師にご確認ください。
矯正治療にともなう一般的なリスク・副作用
- 矯正治療の一般的な治療費は60万~150万円、一般的な治療期間は2~3年、一般的な治療回数は24~36回となります。使用する装置、症状や治療の進行状況などにより変化しますので、参考程度にお考えいただき、詳細は歯科医師にご確認ください。
- 機能性や審美性を重視するため、公的健康保険対象外の自費診療となり、保険診療よりも高額になります。
- 最初は矯正装置による不快感、痛みなどがあります。数日から1~2週間で慣れることが多いです。
- 治療期間は症例により異なりますが、成人矯正や永久歯が全て生えそろっている場合は、一般的に1年半~3年を要します。小児矯正においては、混合歯列期(乳歯と永久歯が混在する時期)に行なう第1期治療で1~2年、永久歯が全て生えそろったあとに行なう第2期治療で1~2年半を要することがあります。
- 歯の動き方には個人差があるため、治療期間が予想より長期化することがあります。
- 装置や顎間ゴムの扱い方、定期的な通院など、矯正治療では患者さまのご協力がたいへん重要であり、それらが治療結果や治療期間に影響します。
- 治療中は、装置がついているため歯が磨きにくくなります。虫歯や歯周病のリスクが高まるので、丁寧な歯磨きや定期メンテナンスの受診が大切です。また、歯が動くことで見えなかった虫歯が見えるようになることもあります。
- 歯を動かすことにより歯根が吸収され、短くなることがあります。また、歯肉が痩せて下がることがあります。
- ごくまれに、歯が骨と癒着していて歯が動かないことがあります。
- ごくまれに、歯を動かすことで神経に障害を与え、神経が壊死することがあります。
- 治療中に金属などのアレルギー症状が出ることがあります。
- 治療中に、「顎関節で音が鳴る、顎が痛い、口をあけにくい」などの顎関節症状が出ることがあります。
- 問題が生じた場合、当初の治療計画を変更することがあります。
- 歯の形状の修正や、噛み合わせの微調整を行なうことがあります。
- 矯正装置を誤飲する可能性があります。
- 装置を外すときに、エナメル質に微小な亀裂が入る可能性や、補綴物(被せ物など)の一部が破損することがあります。
- 装置を外したあと、保定装置を指示どおりに使用しないと後戻りが生じる可能性が高くなります。
- 装置を外したあと、現在の噛み合わせに合わせて補綴物(被せ物など)の作製や虫歯治療などをやり直す可能性があります。
- 顎の成長発育により、歯並びや噛み合わせが変化する可能性があります。
- 治療後に、親知らずの影響で歯並びや噛み合わせが変化する可能性があります。
- 加齢や歯周病などにより、歯並びや噛み合わせが変化することがあります。
- 矯正治療は、一度始めると元の状態に戻すことが難しくなります。
舌側矯正装置・リンガルブラケット矯正装置(STb)を用いた治療にともなう一般的なリスク・副作用
- 機能性や審美性を重視するため、公的健康保険対象外の自費診療となり、保険診療よりも高額になります。
- リンガルブラケット矯正装置(STb)は薬機法(医薬品医療機器等法)において承認された医療機器です。
- 装置に慣れるまで発音しづらいなどの症状が出ることがあります。
- 矯正装置を装着している期間は、適切に歯磨きができていないと、虫歯や歯周病にかかりやすくなります。歯磨き指導をしますので、毎日きちんと歯を磨き、口腔内を清潔に保つようご協力をお願いします。
- 歯磨き、エラスティック(顎間ゴム)の使用、装置の取り扱い、通院などを適切に行なっていただけない場合、治療の期間や結果が予定どおりにならないことがあります。
- 成長期の患者さまの治療では、顎骨の成長を予測し、現段階において適切な治療を行ないますが、まれに予期できない顎の成長や変化によって治療法や治療期間が大きく変わることがあります。また、顎の変形が著しい場合には、矯正治療に外科的処置を併用することがあります。
- 歯を移動させることにより、まれに歯根の先端がすり減って短くなる「歯根吸収」を起こすことがあります。しかし、適切な矯正力で歯を移動させることでセメント質(歯根表面を覆っている組織)が修復されるため、歯根吸収のリスクを軽減できます。
- 歯の周囲の組織は、治療前の状態に戻ろうと「後戻り」する性質があるため、治療後も数ヵ月から1年に1回ほどの頻度で通院いただいて歯の状態を管理し、後戻りを防ぐ必要があります。