年代別矯正治療
Age
Orthodontics
大人と10代(成長終了後)の
矯正治療

矯正治療は、歯に適切な力を加えて歯並びや噛み合わせを整える治療で、歯の機能性・審美性を改善して良好な状態にする治療です。良好な噛み合わせを得られる歯並びと美しい笑顔・口元は、健康かつ快適に日常生活を送るうえでとても大切で、あなたの自信につながります。
大人と10代(成長終了後)の方の場合、全ての歯に装置を付けて1本1本の歯を移動し、機能性・審美性を考慮して歯並びや噛み合わせを整え、改善する目的で行ないます。技術が進歩したことでより高度な治療が可能になり、現在は大人でも治療を受けやすくなっています。
矯正治療を通じて、適切な歯磨きの習慣を身につけるための歯磨き指導、フッ素塗布などで虫歯予防や歯の衛生管理も徹底してまいります。そして、一生ご自分の歯で噛めるようケアをご提供することで、皆さまの健康づくりのお手伝いをしていきたいと考えています。安心して快適な治療を受けていただけるよう努めています。
大人の方へ
矯正治療は子どもだけのものでなく、20代・30代・40代はもちろん50代以降になっても治療は可能であり、開始時期に年齢制限はありません。
10年ほど前から、ご自分の意思で矯正治療を希望される大人の方が増えています。良好な噛み合わせを得られる歯並びと、美しい笑顔・口元への改善を目標にされる大人の方は、歯磨きや装置の手入れなどに気を配ることができ、お口の中を良好な状態に保てるため、効率的に治療が進みます。
10代の方へ
成長終了後の10代の方の場合、大人に比べて骨に柔軟性があり、歯周組織の新陳代謝が旺盛なため、歯を抜かない治療の可能性が広がります。

大人と成長終了後の
10代の矯正治療に使用する装置
「マルチブラケット装置」
大人や成長が終わった10代の矯正治療では、一般的に「マルチブラケット装置」が使われます。歯の表面に小さなブラケットを接着し、30種類以上あるワイヤーの中から太さや硬さを選んで溝に通すことで、歯を少しずつ移動させていきます。

小児矯正との違い
装置の力に対する歯周組織の反応が遅いため、歯の移動は子どもより時間がかかります。成長期の子どもの場合、顎の成長発育を促進または抑制し、正しい方向に誘導して、顎と歯が目標とする位置になるよう調整しながら治療を進めていきます。子どもの治療期間が1期治療と2期治療に分かれ、治療期間が長くなるのはそのためです。
成長発育が終わった方は、顎の大きさや形が完成しており、その範囲内で歯を動かすことになります。そのため、顎の大きさに対して歯が並びきらない場合や、歯が出ている場合などは、歯を抜いて治療することがあります。しかし、新しい技術を適用することで、歯を抜かずに治療できることもあります。

注意点

虫歯
「初診相談の前に、虫歯を完全に治しておかなければ…」と考える方がいらっしゃいます。もちろん虫歯は早く治療する必要がありますが、矯正治療では場合によっては歯を抜くことがあり、虫歯になっている歯がその対象になるかもしれません。
そのため、精密検査を受けた後、虫歯治療が必要な歯についてご説明します。
親知らず
親知らず(第3大臼歯)は一般的に18〜20歳ごろに完成しますが、生えるスペースが足りず、全く生えてこない、正常に生えてこない場合が多く、第2大臼歯に害を与えたり、歯周組織の炎症を招いたりします。
そのため抜歯をしたほうがよいのですが、治療法によっては親知らずを利用することもあるので、精密検査を受けた後、ご説明します。
人工歯
人工歯(セラミック・金属)があっても、歯の神経を取っている場合でも、矯正治療では、歯根膜(歯根の表面にある膜状の組織)に力を作用させることで骨が改造されて、歯が移動します。
そのため、歯根や歯周組織が健康であれば矯正治療を行なえます。また、失った歯があっても、適切な方法で治療を進めていきます。
治療の限界
大人と10代(成長終了後)の方は顎が移動しないため、歯の移動のみで歯並びや噛み合わせを整えます。
そのため治療に限界があり、骨格に大きな問題がある場合や顎骨のずれを大きく改善しなければならない場合は、外科手術を併用した矯正治療が必要になることがあります。
大人の矯正治療の流れ
初診相談・精密検査の後に、歯並びや骨格のタイプ、治療計画、期間や費用についてご説明します。
装置を付けた後は3〜5週間に1回の通院が必要で、治療期間の目安はおおよそ2~3年となります。
Type
大人と10代(成長終了後)の
不正咬合の分類

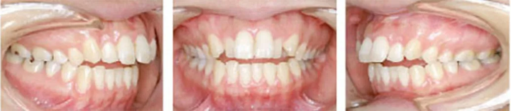
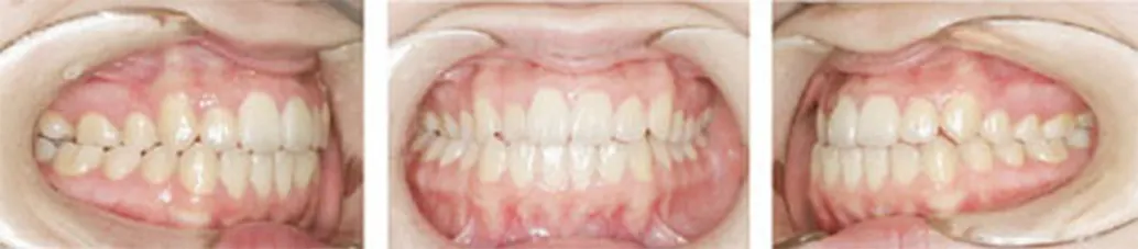
正常咬合と不正咬合
正しい歯並びや噛み合わせを正常咬合といい、問題のある歯並びや噛み合わせを不正咬合といいます。
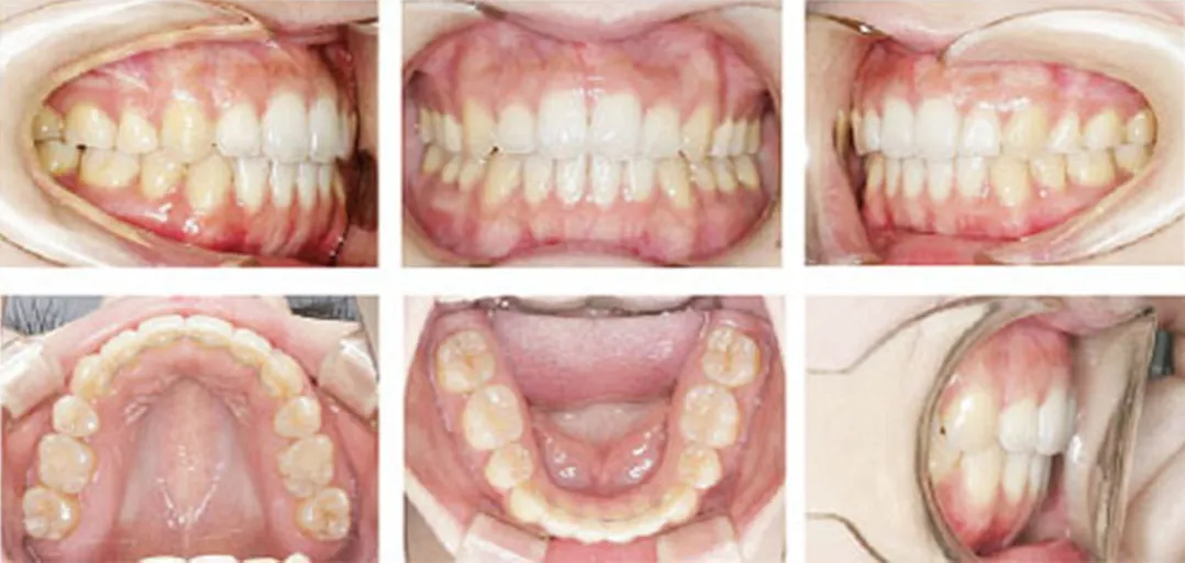
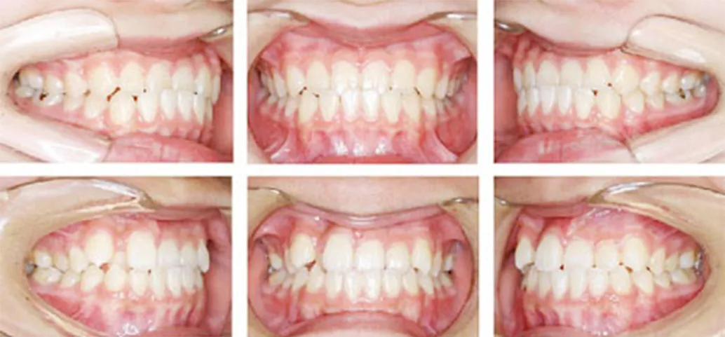
正常咬合
- 上下の前歯の中心がまっすぐそろっている。
- 前歯から奥歯にかけて、3~4mmずれて重なり合っている。
- 上の歯が下の歯を2〜3mm覆っている。
- 上の歯が下の歯より2〜3mm前に出ている。
- 上下の歯のアーチ(歯列)が、卵形または丸みのある台形になっている。
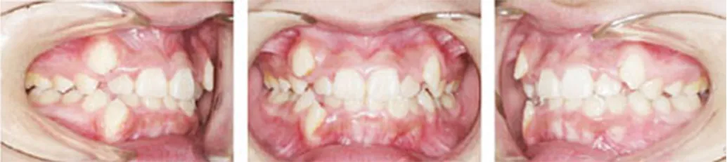
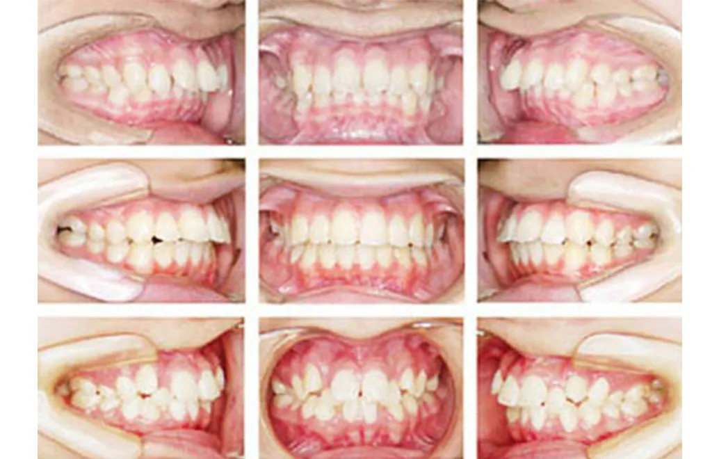
不正咬合
不正咬合には、乱杭(らんぐい)歯(叢生:そうせい)・出っ歯(上顎前突)・受け口(下顎前突)・開咬(上下の前歯が噛み合わない)などがあります。見た目だけでなく噛み合わせも悪く、健康にさまざまな影響を及ぼす可能性があります。

不正咬合の分類

乱杭歯(叢生)
顎が小さいため歯が並びきらずに、重なりあってでこぼこに生えています。

出っ歯(上顎前突)
上の前歯や上顎が出ています。

受け口(下顎前突・反対咬合)
下の前歯や下顎が上の前歯より出ています。

開咬
奥歯を噛み合わせても、上と下の前歯が開いたまま重ならず、いつも舌が見えています。舌癖もあります。

交叉咬合(こうさこうごう)
上下の噛み合わせが一部反対(下の歯が上の歯より出ている状態)になっています。上下の前歯の真ん中がずれていることが多く、下の横の歯や下顎が出ています。

過蓋咬合(かがいこうごう)
上の前歯が下の前歯を半分以上覆った状態で、下の前歯が全く見えないこともあります。出っ歯の方に多いです。
口元(唇)について
エステティックライン
(真横から見た口元のバランスの基準線)
上下の口元、鼻先と顎先を結んだラインとの位置関係は、ライン上の前後2mmほどの範囲内に収まるのが理想です。

緊張している口元

上唇と下唇の突出
上下の前歯が出ている方に多い口元です(下唇の下の筋肉の緊張が小さい方から大きい方の順に並んでいます)。

上唇の突出
上の前歯や上顎が出ている出っ歯の方に多い口元です。

下唇の突出
下の前歯や下顎が出ている受け口の方に多い口元です。

オトガイ筋(下唇の下の筋肉)
の緊張下唇の下の筋肉が緊張して「うめぼし」のような形状になりますが、これは唇を無理やり閉じている証拠です。普段から口をあけたままにしていることが多く、口の中が乾いて口臭・虫歯・歯周病の原因になります。
矯正治療・装置について
- 矯正治療の一般的な治療費は60万~150万円、一般的な治療期間は2~3年、一般的な治療回数は24~36回となります。
- 矯正治療は公的健康保険対象外の自費診療となります。
- 薬機法(医薬品医療機器等法)未承認の矯正装置は、医薬品副作用被害救済制度の対象外となります。
- 治療の費用、主なリスク・副作用については、ページ下部をご確認ください。
リスク・副作用
当院の主な矯正治療の費用(税込)
1期治療:385,000〜495,000円、2期治療:440,000〜550,000円、全体矯正:715,000〜935,000円、舌側矯正:1,100,000〜1,430,000円、部分矯正:330,000〜440,000円
費用は、歯並び・噛み合わせの状態・治療法・治療の難易度・年齢などによって異なりますので、詳細は歯科医師にご確認ください。
矯正治療にともなう一般的なリスク・副作用
- 矯正治療の一般的な治療費は60万~150万円、一般的な治療期間は2~3年、一般的な治療回数は24~36回となります。使用する装置、症状や治療の進行状況などにより変化しますので、参考程度にお考えいただき、詳細は歯科医師にご確認ください。
- 機能性や審美性を重視するため、公的健康保険対象外の自費診療となり、保険診療よりも高額になります。
- 最初は矯正装置による不快感、痛みなどがあります。数日から1~2週間で慣れることが多いです。
- 治療期間は症例により異なりますが、成人矯正や永久歯が全て生えそろっている場合は、一般的に1年半~3年を要します。小児矯正においては、混合歯列期(乳歯と永久歯が混在する時期)に行なう第1期治療で1~2年、永久歯が全て生えそろったあとに行なう第2期治療で1~2年半を要することがあります。
- 歯の動き方には個人差があるため、治療期間が予想より長期化することがあります。
- 装置や顎間ゴムの扱い方、定期的な通院など、矯正治療では患者さまのご協力がたいへん重要であり、それらが治療結果や治療期間に影響します。
- 治療中は、装置がついているため歯が磨きにくくなります。虫歯や歯周病のリスクが高まるので、丁寧な歯磨きや定期メンテナンスの受診が大切です。また、歯が動くことで見えなかった虫歯が見えるようになることもあります。
- 歯を動かすことにより歯根が吸収され、短くなることがあります。また、歯肉が痩せて下がることがあります。
- ごくまれに、歯が骨と癒着していて歯が動かないことがあります。
- ごくまれに、歯を動かすことで神経に障害を与え、神経が壊死することがあります。
- 治療中に金属などのアレルギー症状が出ることがあります。
- 治療中に、「顎関節で音が鳴る、顎が痛い、口をあけにくい」などの顎関節症状が出ることがあります。
- 問題が生じた場合、当初の治療計画を変更することがあります。
- 歯の形状の修正や、噛み合わせの微調整を行なうことがあります。
- 矯正装置を誤飲する可能性があります。
- 装置を外すときに、エナメル質に微小な亀裂が入る可能性や、補綴物(被せ物など)の一部が破損することがあります。
- 装置を外したあと、保定装置を指示どおりに使用しないと後戻りが生じる可能性が高くなります。
- 装置を外したあと、現在の噛み合わせに合わせて補綴物(被せ物など)の作製や虫歯治療などをやり直す可能性があります。
- 顎の成長発育により、歯並びや噛み合わせが変化する可能性があります。
- 治療後に、親知らずの影響で歯並びや噛み合わせが変化する可能性があります。
- 加齢や歯周病などにより、歯並びや噛み合わせが変化することがあります。
- 矯正治療は、一度始めると元の状態に戻すことが難しくなります。











